
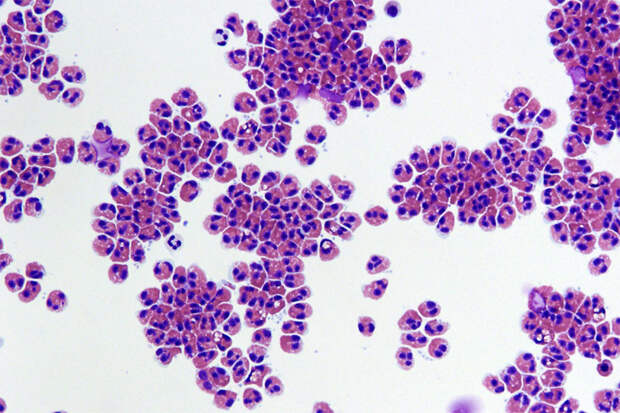
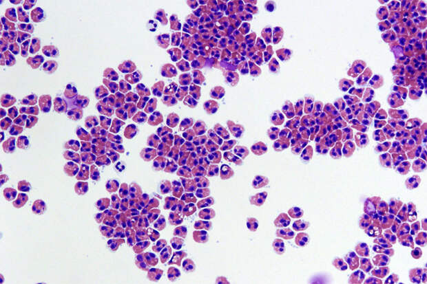
Эозинофилы — одна из разновидностей защитных клеток нашего организма. Они нужны прежде всего для того, чтобы защищать тело от некоторых болезней, инфекций и паразитов. Но если эозинофилов вырабатывается слишком много, они сами начинают атаковать здоровые ткани и превращаются в угрозу для организма.
Эозинофилы — это одна из пяти разновидностей лейкоцитов, или белых …







Свежие комментарии